Per offrirti il migliore servizio possibile questo sito utilizza cookies.
Puoi visualizzare, modificare e aggiornare tutte le informazioni riguardanti le tue preferenze anche cliccando il link seguente: Cookie Policy & Privacy Policy

Per appuntamenti: 0371 564816

parliamo spagnolo parliamo la lingua dei segni

Faccetta In ceramica del dente singolo: una sfida avvincente per un sorriso perfetto

La faccetta è una sottile lamina in ceramica che viene applicata sulla superficie esterna del dente per migliorarne estetica e funzione. È una soluzione minimamente invasiva, ideale per correggere colore, forma e posizione.

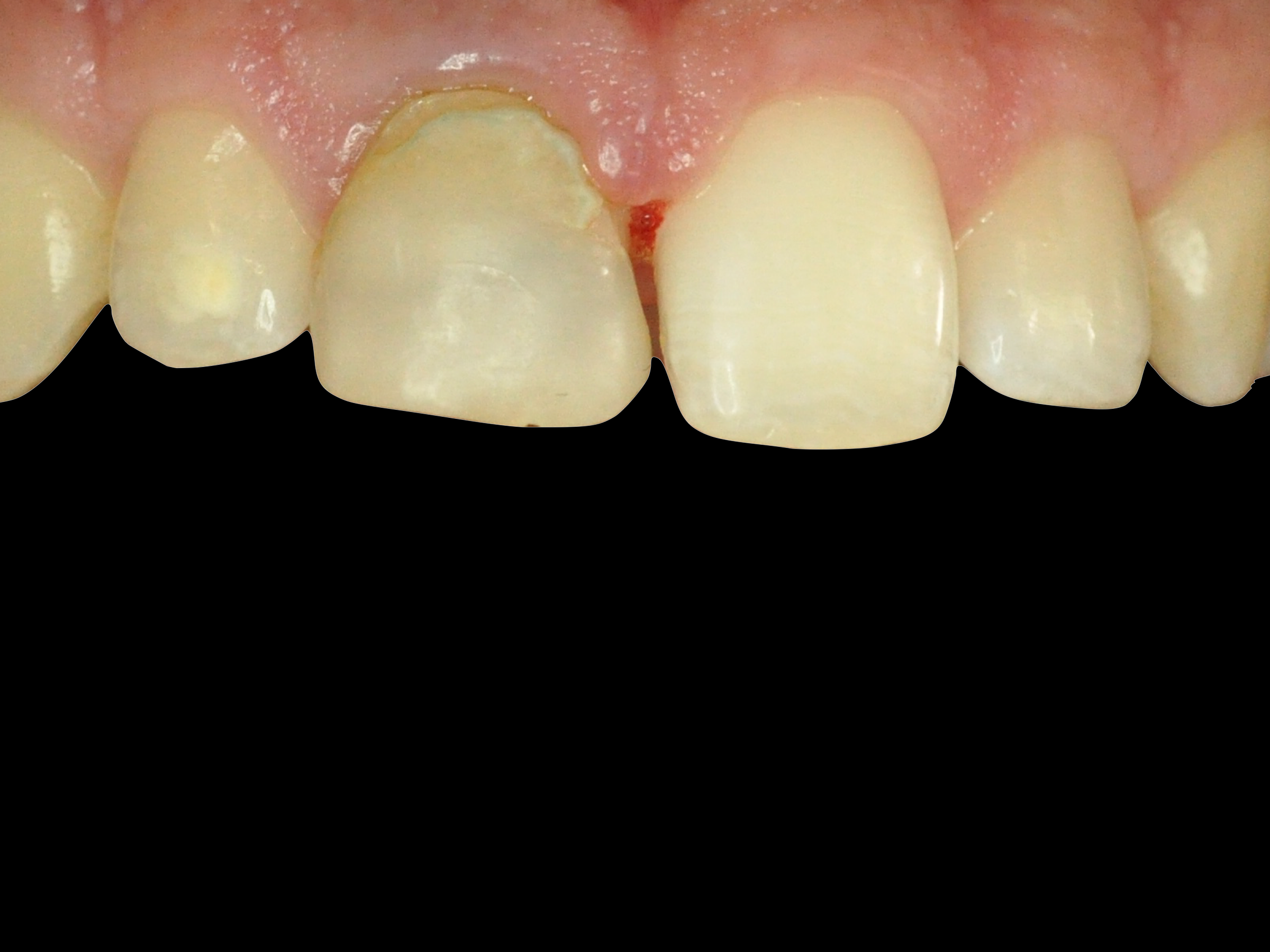
La storia di Giacomo è quella di molti pazienti che, a causa di un trauma dentale infantile, si trovano a convivere con un sorriso che non li soddisfa più. Quando si è rivolto al nostro studio, il suo desiderio era chiaro: ripristinare l’estetica del dente danneggiato senza dover intervenire sugli altri denti.

Grazie all’odontoiatria digitale e all’uso di materiali di ultima generazione, abbiamo optato per una faccetta in ceramica su dente singolo, una soluzione minimamente invasiva, in grado di restituire armonia e naturalezza al suo sorriso.


Cos’è una faccetta in ceramica e quando è indicata?

Le faccette in ceramica sono sottili rivestimenti che vengono applicati sulla superficie visibile del dente per migliorarne forma, colore e proporzioni. Sono ideali per correggere:
✔️ Macchie dentali resistenti allo sbiancamento
✔️ Denti scheggiati o fratturati
✔️ Leggere discromie o disallineamenti
✔️ Denti consumati per bruxismo o altri fattori

Nel caso di Giacomo, la faccetta ha permesso di ripristinare l’estetica del dente traumatizzato senza la necessità di un intervento più invasivo come una corona.


Tecnologia e precisione: il sistema Cerec

Per garantire il massimo della personalizzazione e dell’efficienza, abbiamo utilizzato il sistema CAD/CAM Cerec, una tecnologia all’avanguardia che consente di progettare e realizzare restauri in ceramica in un’unica seduta.

🔹 Come funziona il sistema Cerec?
1️⃣ Scansione digitale: Nessuna impronta tradizionale, solo una veloce scansione intraorale 3D per rilevare ogni dettaglio del dente.
2️⃣ Progettazione computerizzata: Il restauro viene disegnato digitalmente con precisione micrometrica.
3️⃣ Fresatura immediata: Il dente in ceramica viene fresato in pochi minuti da un blocco di ceramica integrale, assicurando resistenza e biocompatibilità.
4️⃣ Caratterizzazione estetica: Dopo la prova in bocca, la faccetta viene personalizzata nel colore e nei dettagli per integrarsi perfettamente con i denti naturali.
5️⃣ Cottura nel forno da ceramica: La fase finale di cottura fissa il colore e aumenta la resistenza della faccetta.

 

Questa tecnologia ci ha permesso di:
✅ Evitare le lunghe attese del laboratorio odontotecnico.
✅ Personalizzare il restauro direttamente in studio, rendendolo unico per ogni paziente.
✅ Realizzare la faccetta definitiva in un solo appuntamento, con un risultato estetico immediato.

 


Il risultato: un sorriso naturale e armonico

Dopo il posizionamento della faccetta, il sorriso di Giacomo ha ritrovato equilibrio, luminosità e naturalezza. Il colore è stato perfettamente armonizzato con il resto della dentatura, garantendo un aspetto traslucente e realistico.
 

Grazie alla combinazione di innovazione tecnologica e attenzione ai dettagli, siamo in grado di offrire soluzioni estetiche su misura, preservando al massimo la struttura dentale naturale.

 

✨ Un nuovo sorriso in due sole sedute: il futuro dell’odontoiatria digitale è già realtà!

CONTATTACI

I partners

Sitemap | Privacy & Policy | Sito web creato da Grazioli Design “Only for dreamers”


TOP