Per offrirti il migliore servizio possibile questo sito utilizza cookies.
Puoi visualizzare, modificare e aggiornare tutte le informazioni riguardanti le tue preferenze anche cliccando il link seguente: Cookie Policy & Privacy Policy

Per appuntamenti: 0371 564816

parliamo spagnolo parliamo la lingua dei segni

I nostri casi clinici

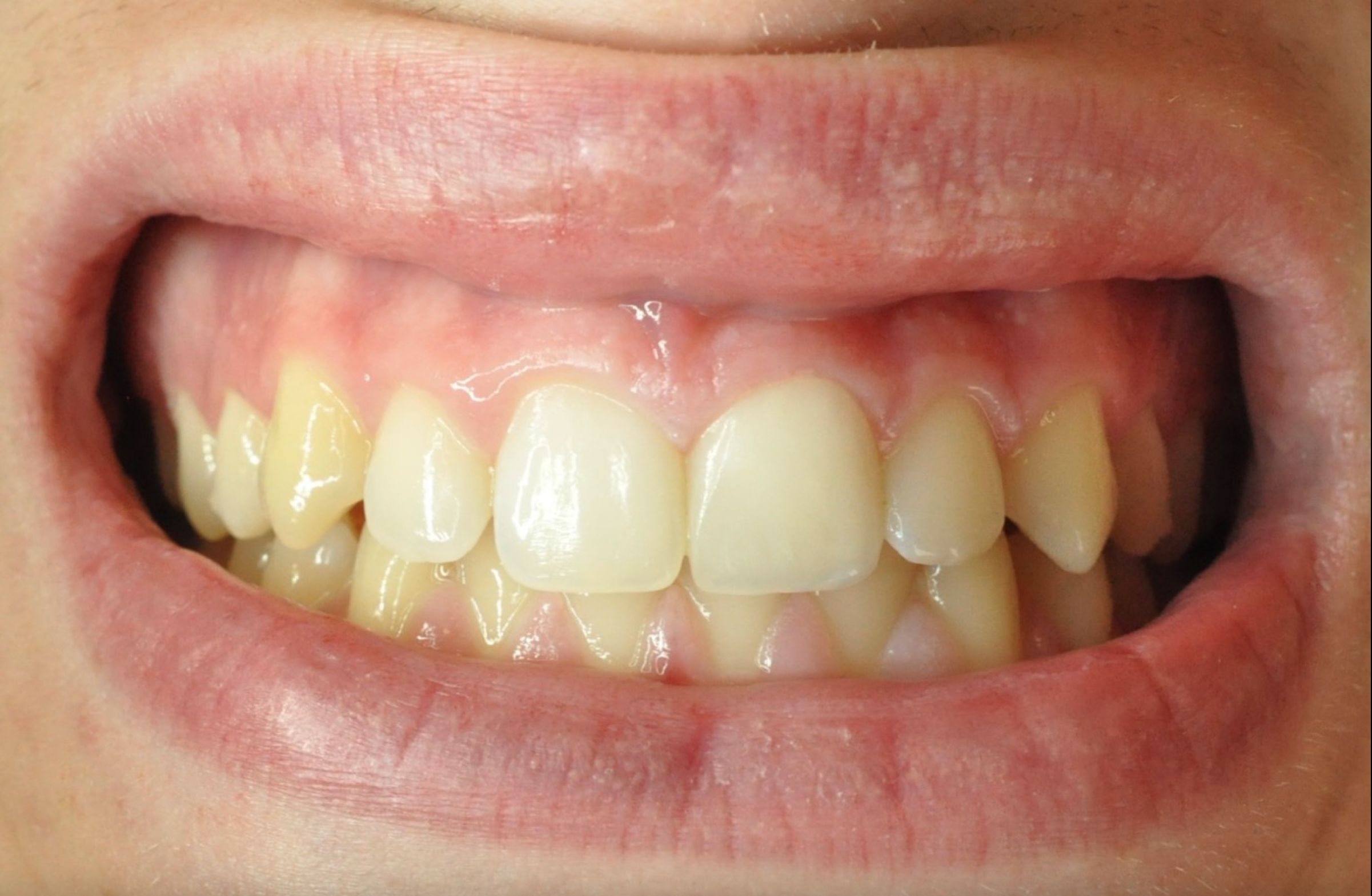
🦷 Sbiancamento dentale: caso reale, risultato naturale e sicuro

Continua a leggere

🦷 Dente nero in un ragazzo di 13 anni con allineatori

Continua a leggere

Ricostruzione del sorriso: recessioni gengivali, colletti esposti e faccette in ceramica

Continua a leggere

Terapia non chirurgica della parodontite

Continua a leggere

🦷 Perimplantite:

Continua a leggere

Un nuovo sorriso

Continua a leggere

😌 Protossido d’azoto e igiene dentale:

Continua a leggere

Impianto dentale posteriore

Continua a leggere

Sbiancamento dentale

Continua a leggere

ortodonzia fissa in età adulta 😊

Continua a leggere

Ricostruzione Plastica Parodontale

Continua a leggere

🌟 Un nuovo sorriso digitale:

Continua a leggere

Faccetta In ceramica del dente singolo: una sfida avvincente per un sorriso perfetto

Continua a leggere
CONTATTACI

I partners

Sitemap | Privacy & Policy | Sito web creato da Grazioli Design “Only for dreamers”


TOP