Per offrirti il migliore servizio possibile questo sito utilizza cookies.
Puoi visualizzare, modificare e aggiornare tutte le informazioni riguardanti le tue preferenze anche cliccando il link seguente: Cookie Policy & Privacy Policy

Per appuntamenti: 0371 564816

parliamo spagnolo parliamo la lingua dei segni

Terapia non chirurgica della parodontite

GBT, ultrasuoni con punte sottili e controllo del biofilm

Cos'è la parodontopatia?

 

La parodontopatia (o parodontite), una volta la chiamavamo piorrea, è una malattia infiammatoria cronica che colpisce i tessuti di supporto del dente: gengiva, legamento parodontale, cemento radicolare e osso alveolare. È una patologia molto diffusa nella popolazione adulta e rappresenta, insieme alla carie, una delle principali cause di perdita dentale. Oggi sappiamo che la sua gestione è profondamente cambiata rispetto al passato: grazie a protocolli moderni, tecnologie mini-invasive e a una maggiore comprensione del ruolo del biofilm batterico, la terapia è principalmente non chirurgica, mirata, personalizzata e centrata sull’educazione del paziente.

In questo articolo approfondiamo:

  • Cos’è la parodontite e come si inquadra correttamente

  • L’importanza dello status radiografico e del sondaggio parodontale

  • La terapia non chirurgica con punte ultrasoniche sottili e sottilissime

  • Il protocollo GBT (Guided Biofilm Therapy)

  • L’uso di glicina ed eritritolo subgengivale e bicarbonato sopragengivale

  • Perché il laser non ha dimostrato benefici nella cura della parodontite secondo le principali società scientifiche

  • Perché oggi non si utilizzano più strumenti manuali leviganti nella terapia causale

  • Il ruolo centrale della rimozione del biofilm e dell’igiene domiciliare

Le immagini cliniche del prima e dopo trattamento e il test di placca al 100% che accompagnano questo articolo mostrano visivamente quanto sia determinante il controllo del biofilm nella guarigione dei tessuti.

 


Cos’è la parodontopatia: non “solo gengive che sanguinano”

La parodontite non è semplicemente una gengivite più intensa. È una malattia infiammatoria sostenuta dal biofilm batterico che, in soggetti predisposti, determina una risposta immunitaria distruttiva nei confronti dei tessuti di sostegno del dente.

Il processo patologico porta a:

  • Formazione di tasche parodontali

  • Perdita di attacco clinico

  • Riassorbimento osseo

  • Mobilità dentale nei casi avanzati

Oggi la classificazione internazionale è stata ridefinita nel 2017 dal World Workshop congiunto tra European Federation of Periodontology (EFP) e American Academy of Periodontology (AAP), introducendo un sistema basato su stadi (gravità) e gradi (velocità di progressione e fattori di rischio).

Questo cambiamento ha rafforzato un concetto chiave: la parodontite è una malattia biofilm-dipendente, ma modulata da fattori sistemici (come diabete, fumo, predisposizione).

 


L’inquadramento diagnostico: status radiografico e sondaggio parodontale (foto in calce)

Prima di qualsiasi terapia è indispensabile un inquadramento completo e rigoroso.

1. Status radiografico

Uno status radiografico completo (endorali periapicali o bite-wing estese) consente di:

  • Valutare il livello dell’osso alveolare

  • Identificare difetti verticali

  • Rilevare eventuali lesioni endo-parodontali

  • Analizzare incongruenze protesiche o restauri debordanti

La radiografia non serve solo a “vedere l’osso”, ma a comprendere il pattern di perdita ossea, fondamentale per stabilire lo stadio della malattia.

2. Sondaggio parodontale

Il sondaggio parodontale è l’esame clinico cardine. Si misura la profondità di sondaggio in sei punti per ogni dente, registrando:

  • Profondità della tasca

  • Sanguinamento al sondaggio (BOP)

  • Recessioni

  • Perdita di attacco clinico

  • Mobilità

  • Coinvolgimento delle forcazioni

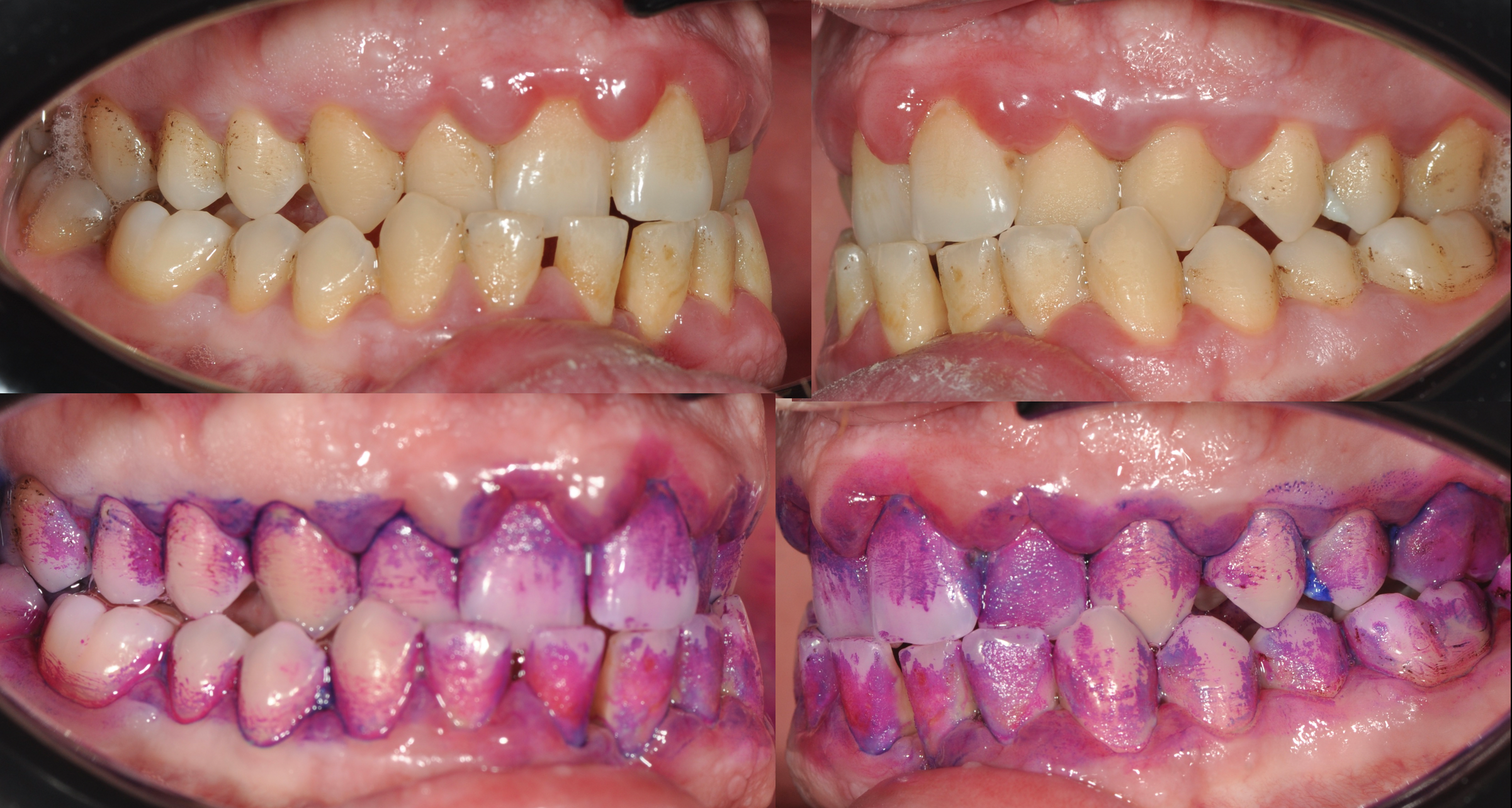
Un test di placca che evidenzia una copertura del 100%, come mostrato nell’immagine allegata, è un indicatore potentissimo della causa primaria della malattia: il biofilm batterico non controllato.


Il cuore della terapia: rimozione del biofilm

La parodontite è una malattia sostenuta dal biofilm. Non dal tartaro in sé, non da “tossine misteriose”, ma da una comunità batterica organizzata, strutturata e altamente resistente.

Il biofilm:

  • È aderente alla superficie dentale

  • Si organizza in strutture tridimensionali

  • Comunica internamente attraverso segnali biochimici

  • È molto più resistente agli antibiotici rispetto ai batteri liberi

Per questo motivo, la terapia parodontale moderna si basa sulla rimozione meccanica professionale del biofilm e sull’educazione del paziente a mantenerlo sotto controllo quotidianamente.


Terapia non chirurgica mini-invasiva: cosa significa oggi

Un tempo la terapia parodontale prevedeva frequentemente:

  • Strumenti manuali per “levigare” le radici

  • Sedute aggressive

  • Chirurgia parodontale estesa

Oggi l’approccio è radicalmente cambiato.

La terapia causale è mini-invasiva, non chirurgica, mirata e rispettosa dei tessuti. Nel caso clinico presentato, tutta la terapia è stata eseguita senza strumenti manuali leviganti, utilizzando esclusivamente:

  • Punte ultrasoniche sottili e sottilissime

  • Air polishing con polveri dedicate

  • Protocollo GBT

Gli strumenti manuali da levigatura radicolare oggi non hanno più indicazione nella terapia causale standard, se non in casi selezionati durante interventi chirurgici parodontali, dove può essere necessario un controllo diretto della superficie radicolare a cielo aperto.

 


Punte ultrasoniche sottili e sottilissime

L’uso di ultrasuoni di nuova generazione ha rivoluzionato la terapia non chirurgica.

Le punte sottili e sottilissime permettono di:

  • Penetrare delicatamente nelle tasche profonde

  • Rimuovere biofilm e tartaro senza danneggiare il cemento radicolare

  • Lavorare con maggiore precisione e meno trauma

L’obiettivo non è più “raschiare fino a rendere la radice liscia”, ma decontaminare la superficie preservando quanto più possibile il tessuto sano.

La filosofia moderna è conservativa: meno invasività significa migliore guarigione, meno dolore post-operatorio e maggiore compliance del paziente.

 


Il protocollo GBT – Guided Biofilm Therapy (foto in calce)

Il protocollo GBT (Guided Biofilm Therapy) rappresenta oggi uno degli approcci più moderni nella gestione professionale del biofilm.

Il protocollo si basa su 8 fasi strutturate:

  1. Diagnosi e valutazione del rischio

  2. Motivazione del paziente

  3. Rivelazione del biofilm con colorante

  4. Istruzioni personalizzate di igiene orale

  5. Rimozione del biofilm sopragengivale e sottogengivale con air polishing

  6. Rimozione selettiva del tartaro residuo con ultrasuoni

  7. Controllo finale

  8. Programmazione del richiamo

La fase di rivelazione del biofilm, come mostrato nell’immagine con test di placca al 100%, è fondamentale: rende il paziente consapevole del problema e trasforma la terapia in un percorso condiviso.

 


Glicina ed eritritolo subgengivale

Le polveri di glicina ed eritritolo sono specificamente indicate per l’uso sottogengivale.

Caratteristiche:

  • Granulometria molto fine

  • Elevata solubilità

  • Azione delicata sui tessuti molli

  • Efficace rimozione del biofilm

L’eritritolo, in particolare, ha mostrato proprietà interessanti nel controllo del biofilm parodontopatogeno.

L’air polishing subgengivale permette di:

  • Decontaminare la tasca

  • Raggiungere aree difficilmente accessibili con strumenti tradizionali

  • Ridurre la carica batterica senza trauma

È un passaggio chiave della terapia mini-invasiva.

 


Bicarbonato sopragengivale

Il bicarbonato di sodio viene utilizzato a livello sopragengivale.

È indicato per:

  • Rimozione di macchie estrinseche

  • Eliminazione del biofilm sopra la gengiva

  • Preparazione del campo alla terapia sottogengivale

Non viene utilizzato nelle tasche parodontali, dove sarebbe troppo abrasivo.

 


Il laser nella parodontite: cosa dice la scienza

Spesso viene proposto il laser come soluzione “miracolosa” per la parodontite. Tuttavia, le evidenze scientifiche attuali non supportano un beneficio clinico significativo del laser come terapia aggiuntiva rispetto alla terapia meccanica convenzionale.

La posizione delle principali società scientifiche è chiara:

  • Società Italiana di Parodontologia e Implantologia (SIdP)

  • European Federation of Periodontology

  • American Academy of Periodontology

Le revisioni sistematiche e le linee guida indicano che il laser non apporta benefici clinicamente rilevanti in termini di guadagno di attacco o riduzione stabile della profondità di tasca rispetto alla terapia meccanica correttamente eseguita.

La chiave rimane la rimozione meccanica del biofilm.

 


Perché oggi la chirurgia è molto più limitata

In passato la chirurgia parodontale era spesso la prassi.

Oggi, grazie a:

  • Diagnosi precoce

  • Terapia non chirurgica efficace

  • Migliore educazione del paziente

  • Richiami strutturati

la chirurgia è riservata a:

  • Difetti ossei specifici

  • Tasche residue non responsive

  • Problemi morfologici che impediscono l’igiene

Nel caso clinico presentato, tutta la terapia è stata gestita senza chirurgia, dimostrando come un approccio moderno e rigoroso possa portare a risultati eccellenti.

 


Educazione all’igiene orale: la vera terapia a lungo termine

Nessuna terapia professionale può avere successo senza il coinvolgimento attivo del paziente.

L’educazione comprende:

  • Tecnica di spazzolamento personalizzata

  • Uso corretto di filo o scovolini

  • Eventuale utilizzo di dispositivi elettrici

  • Controlli periodici

La parodontite è una malattia cronica: si controlla, non si “guarisce definitivamente”.

Il successo si misura nel tempo, attraverso:

  • Assenza di sanguinamento

  • Stabilità dei livelli ossei

  • Profondità di sondaggio controllate

  • Riduzione dell’infiammazione


 

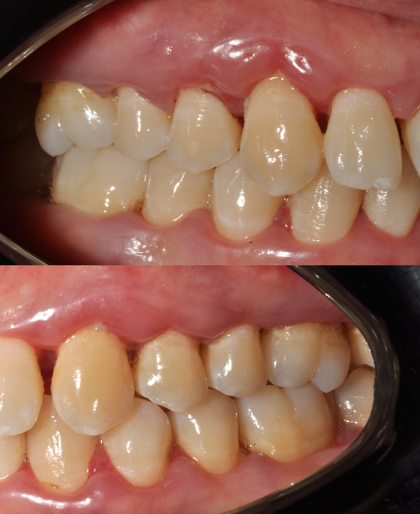
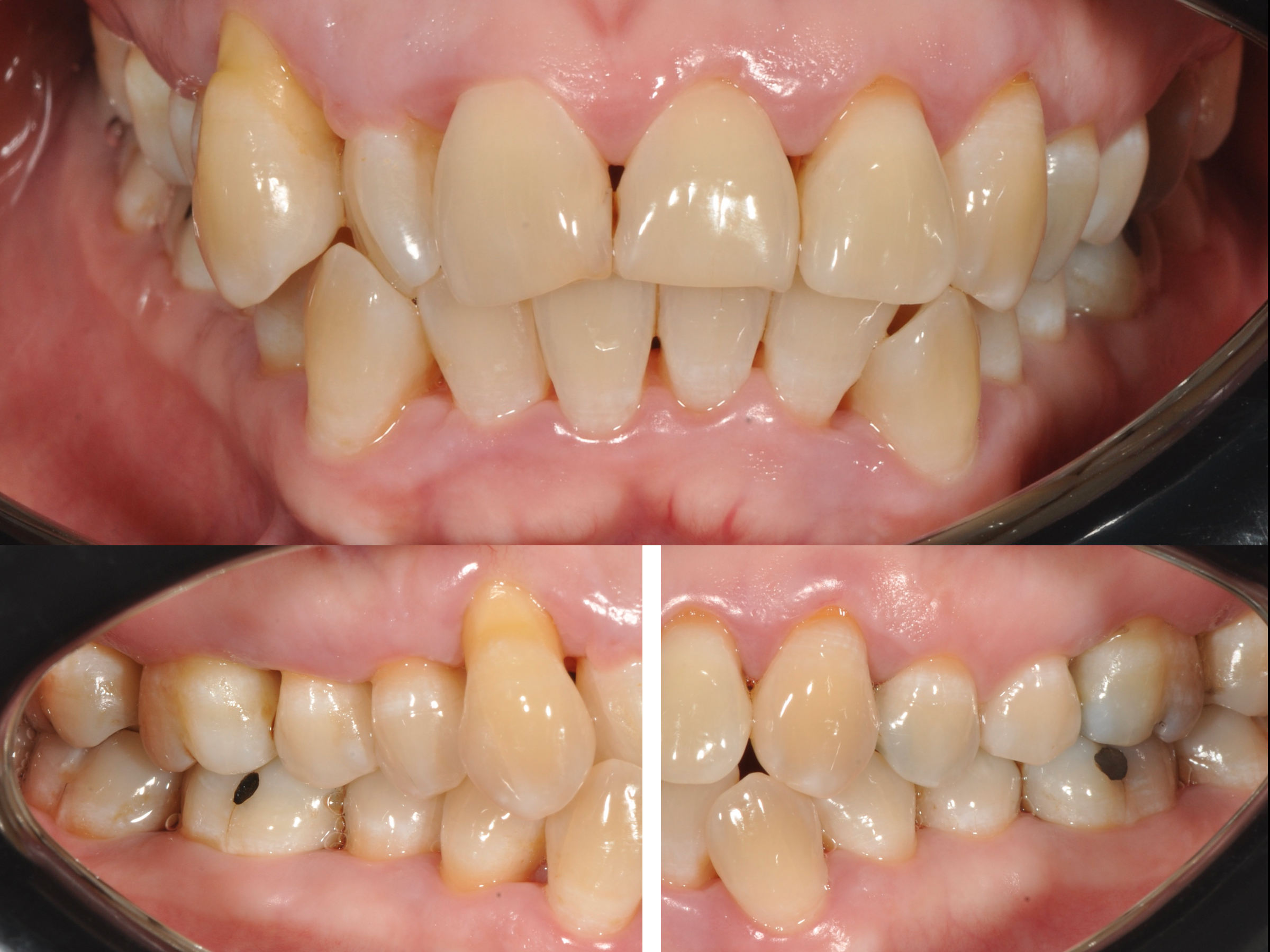
Prima e dopo: cosa dimostrano le immagini

Le fotografie cliniche allegate mostrano:

  • Gengive infiammate e sanguinanti prima della terapia

  • Riduzione dell’edema e dell’eritema dopo la decontaminazione

  • Miglioramento della salute gengivale senza incisioni chirurgiche

L’immagine del test di placca al 100% è particolarmente significativa: quando tutto è colorato, significa che il biofilm è ovunque. È da lì che bisogna partire.

 


Conclusioni

La cura della parodontopatia oggi è:

  • Scientifica

  • Mini-invasiva

  • Non chirurgica nella maggior parte dei casi

  • Basata sulla rimozione del biofilm

  • Supportata da protocolli strutturati come il GBT

  • Fondata sull’educazione del paziente

Gli strumenti manuali leviganti appartengono a una fase storica superata per la terapia causale standard.

Il laser non ha dimostrato benefici clinicamente rilevanti secondo le principali società scientifiche.

La vera rivoluzione non è tecnologica, ma concettuale: non si “raschiano le radici”, si gestisce il biofilm.

E quando il biofilm è sotto controllo, i tessuti possono guarire.

La parodontite non si combatte con promesse miracolose, ma con diagnosi accurata, terapia rigorosa e collaborazione quotidiana tra professionista e paziente.

CONTATTACI

I partners

Sitemap | Privacy & Policy | Sito web creato da Grazioli Design “Only for dreamers”


TOP